Височный артериит: симптомы и лечение
Височным (темпоральным) артериитом называют хроническое воспалительное заболевание сосудов с поражением стенок артерий крупного и среднего калибра и преимущественным вовлечением в этот процесс височной артерии....
Сенильная деменция: симптомы, лечение
Сенильная деменция – это слабоумие, развивающееся в старческом возрасте как финал патологической инволюции организма, возникающее из-за прогрессирующей диффузной атрофии структур головного мозга. В народе...
Синдром позвоночной артерии: симптомы и лечение
Синдром позвоночной артерии (СПА) – это комплекс симптомов, возникающих вследствие нарушения тока крови в позвоночных (или вертебральных) артериях. В последние десятилетия эта патология получила...
Ишемический инсульт головного мозга: прогноз и последствия
Церебральный инсульт, или «мозговой удар» – «убийца» под номером два в структуре общей смертности населения во всем мире: 25% мужчин и 39% женщин погибают...
Инсульт: первые признаки и симптомы
Инсульт, или сосудистая катастрофа головного мозга – заболевание, при котором ранняя диагностика и оказание квалифицированной медицинской помощи являются важнейшими факторами, влияющими на прогноз.
После инсульта...
ТИА: симптомы и лечение
Транзиторная ишемическая атака – это кратковременное снижение мозгового кровотока, симптомы которого должны исчезнуть в течение суток.
Актуальность проблемы ТИА трудно переоценить, так как именно она...
Ишемический инсульт: симптомы и лечение
Ишемический инсульт – это острое нарушение мозгового кровообращения в определенном артериальном бассейне, которое приводит к очагу некроза мозговой ткани и сопровождается стойким неврологическим дефицитом,...
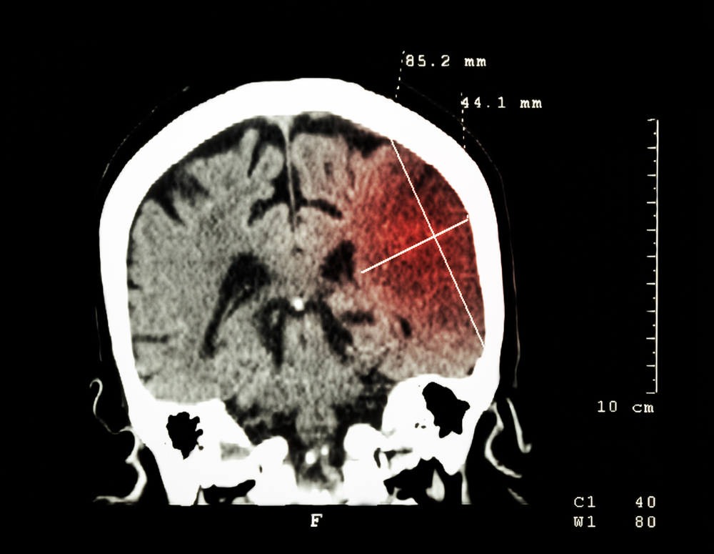
Гематома головного мозга
Гематома головного мозга – это ограниченный участок скопления крови в полости черепа. По отношению к головному мозгу и его оболочкам различают несколько видов гематом....
Вегетососудистая дистония у взрослых: симптомы и диагностика
Вегетососудистая дистония (ВСД, или нейроциркуляторная дистония) клинически представляет собой сочетание эмоциональных расстройств с вегетативными нарушениями (колебаниями артериального давления, сердцебиением, нарушением сердечного ритма, болями в...
Вегетососудистая дистония: современные способы лечения
Вегетососудистая дистония (ВСД, или нейроциркуляторная дистония) – это очень частая проблема, с которой приходится сталкиваться современному человеку. Это сочетание эмоционально-психических расстройств с вегетативными нарушениями...














