
Всемирный прирост онкозаболеваемости внушает, по меньшей мере, опасения. Только за последние 10 лет он составил более 15%. Причем растут показатели не только заболеваемости, но и смертности. Опухоли начинают занимать лидирующие позиции среди заболеваний различных органов и систем. К тому же отмечается значительное «омоложение» опухолевых процессов. По статистике, в мире 27 000 людей в день узнают о наличии у себя онкозаболевания. В день… Вдумайтесь в эти данные… Во многом ситуация осложняется поздней диагностикой опухолей, когда помочь больному практически невозможно.
Опухоли головного мозга хоть и не являются лидерами среди всех онкологических процессов, тем не менее, представляют собой опасность для жизни человека. В этой статье мы поговорим о том, чем проявляет себя опухоль головного мозга, какие симптомы она вызывает.
Содержание
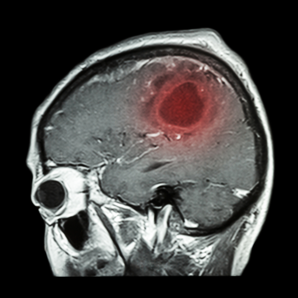
Основные сведения об опухолях головного мозга
Опухоль головного мозга – это любая опухоль, расположенная внутри черепа. Этот вид онкологического процесса составляет 1,5% от всех известных медицине опухолей. Встречаются в любом возрасте, независимо от пола. Опухоли головного мозга могут быть доброкачественными и злокачественными. Также их делят на:
- первичные опухоли (образуются из нервных клеток, оболочек мозга, черепных нервов). Заболеваемость первичными опухолями в России составляет 12-14 случаев на 100 000 населения в год;
- вторичные, или метастатические (это результаты «заражения» мозга опухолями другой локализации через кровь). Вторичные опухоли головного мозга встречаются чаще, нежели первичные: по некоторым данным показатель заболеваемости составляет 30 случаев на 100 000 населения в год. Эти опухоли являются злокачественными.
По гистологическому типу насчитывается более 120 видов опухолей. Каждый тип имеет свои особенности не только строения, но и скорости развития, места расположения. Однако все опухоли головного мозга любого вида объединяет тот факт, что все они являются «плюс»-тканью внутри черепа, то есть растут в ограниченном пространстве, сдавливая рядом расположенные структуры. Именно этот факт и позволяет объединять симптомы различных опухолей в единую группу.
Признаки опухоли головного мозга
Все симптомы опухоли головного мозга принято делить на три разновидности:
- местные, или локальные: возникают в месте возникновения опухоли. Это результат сдавления тканей. Иногда их еще называют первичными;
- отдаленные, или дислокационные: развиваются в результате отека, смещения ткани мозга, нарушения кровообращения. То есть становятся проявлением патологии участков мозга, расположенных на отдалении от опухоли. Их еще называют вторичными, потому что для их возникновения необходимо, чтобы опухоль выросла до определенных размеров, а значит, вначале какое-то время изолированно просуществуют первичные симптомы;
- общемозговые симптомы: следствие повышения внутричерепного давления из-за роста опухоли.
Первичные и вторичные симптомы считаются очаговыми, что отражает их морфологическую сущность. Поскольку каждый участок мозга имеет определенную функцию, то «проблемы» на этом участке (очаге) проявляют себя специфическими симптомами. Очаговые и общемозговые симптомы по отдельности не свидетельствуют о наличии опухоли головного мозга, но вот если существуют в сочетании, то становятся диагностическим критерием патологического процесса.
Некоторые симптомы можно отнести и к очаговым, и к общемозговым (например, головная боль как результат раздражения мозговой оболочки опухолью в месте ее расположения – это очаговый симптом, а как следствие повышения внутричерепного давления – общемозговой).
Какие именно симптомы возникнут первыми, сказать трудно, потому что на это влияет расположение опухоли. В мозге существуют так называемые «немые» зоны, сдавление которых клинически долго не проявляется, а значит, очаговые симптомы не возникают первыми, уступая пальму первенства общемозговым.
Общемозговые симптомы
Головная боль является, пожалуй, самым распространенным из общемозговых симптомов. А в 35% случаев вообще является первым признаком растущей опухоли.
Головная боль носит распирающий, давящий изнутри характер. Появляется ощущение давления на глаза. Боль диффузная, без какой-либо четкой локализации. Если головная боль выступает как очаговый симптом, то есть возникает в результате местного раздражения болевых рецепторов оболочки мозга опухолью, тогда она может носить сугубо локальный характер.
Поначалу головная боль может быть периодической, но затем становится постоянной и упорной, полностью устойчивой к любым обезболивающим препаратам. В утренние часы интенсивность головной боли может быть даже выше, чем днем или вечером. Это легко объяснимо. Ведь в горизонтальном положении, в котором человек проводит сон, затрудняется отток ликвора и крови из черепа. А при наличии опухоли головного мозга, он затрудняется вдвойне. После того, как человек проводит какое-то время в вертикальном положении, отток ликвора и крови улучшается, снижается внутричерепное давление, и головная боль уменьшается.
Тошнота и рвота также являются общемозговыми симптомами. У них есть особенности, позволяющие отличить их от аналогичных симптомов при отравлении или заболеваниях желудочно-кишечного тракта. Мозговая рвота не связана с приемом пищи, не вызывает облегчения. Часто сопровождает головную боль по утрам (даже натощак). Регулярно повторяется. При этом полностью отсутствуют боли в животе и другие диспепсические расстройства, аппетит не меняется.
Рвота может быть и очаговым симптомом. Это бывает в случаях расположения опухоли в области дна IV желудочка. В таком случае, ее возникновение связано с изменением положения головы и может сочетаться с вегетативными реакциями в виде внезапной потливости, нарушения сердцебиения, изменения ритма дыхания, изменения цвета кожных покровов. В ряде случаев даже может возникать потеря сознания. При такой локализации рвота еще сопровождается упорной икотой.
Головокружение также может возникать при повышении внутричерепного давления, при сдавлении опухолью сосудов, обеспечивающих кровоснабжение головного мозга. Оно не имеет каких-либо специфических признаков, отличающих его от головокружения при других заболеваниях головного мозга.
Нарушение зрения и застойные диски зрительных нервов являются практически обязательными симптомами опухоли головного мозга. Однако они появляются в той стадии, когда опухоль существует уже довольно долго и имеет значительные размеры (за исключением случаев расположения опухоли в области зрительных путей). Изменения остроты зрения не корригируются линзами и постоянно прогрессируют. Больные жалуются на туман и пелену перед глазами, часто протирают глаза, пытаясь таким способом устранить дефекты изображения.
Нарушения психики также могут быть следствием повышения внутричерепного давления. Начинается все с нарушения памяти, внимания, способности концентрироваться. Больные рассеянны, витают в облаках. Нередко эмоционально неустойчивы, причем при отсутствии повода. Довольно часто эти признаки являются первыми симптомами растущей опухоли головного мозга. По мере увеличения размеров опухоли и нарастания внутричерепной гипертензии могут появляться и неадекватность в поведении, «странные» шутки, агрессивность, дурашливость, эйфория и так далее.
Генерализованные эпилептические припадки у 1/3 больных становятся первым симптомом опухоли. Возникают на фоне полного благополучия, однако имеют тенденцию к повторению. Появление генерализованных эпилептических приступов впервые в жизни (не считая лиц, злоупотребляющих спиртным) – грозный и весьма вероятный в отношении опухоли головного мозга симптом.
Очаговая симптоматика

В зависимости от места в головном мозге, где начинает развиваться опухоль, могут возникнуть следующие симптомы:
- нарушения чувствительности: это могут быть онемение, жжение, чувство ползания мурашек, снижение чувствительности в отдельных частях тела, ее повышение (прикосновение вызывает боль) или утрата, неспособность определять заданное положение конечности в пространстве (при закрытых глазах);
- двигательные нарушения: снижение мышечной силы (парез), нарушение мышечного тонуса (обычно повышение), появление патологических симптомов типа Бабинского (разгибание большого пальца и веерообразное расхождение остальных пальцев стопы при штриховом раздражении наружного края стопы). Двигательные изменения могут захватывать одну конечность, две с одной стороны или даже все четыре. Все зависит от расположения опухоли в мозге;
- нарушение речи, способности читать, считать и писать. В головном мозге есть четко локализованные зоны, отвечающие за эти функции. Если опухоль развивается именно в этих зонах, то человек начинает невнятно говорить, путает звуки и буквы, не понимает обращенную речь. Конечно, подобные признаки не возникают в один момент. Постепенный рост опухоли приводит к прогрессированию этих симптомов, и тогда речь может исчезнуть полностью;
- эпилептические припадки. Они могут быть парциальными и генерализованными (как следствие застойного очага возбуждения в коре). Парциальные припадки считаются очаговым симптомом, а генерализованные могут быть как очаговым, так и общемозговым симптомом;
- нарушения равновесия и координации. Эти симптомы сопровождают опухоли в области мозжечка. У человека меняется походка, могут возникать падения на ровном месте. Довольно часто это сопровождается ощущением головокружения. Люди тех профессий, где нужна точность и меткость, начинают замечать за собой промахивания, неуклюжесть, большое количество ошибок при выполнении привычных навыков (например, швея не может вставить нитку в иголку);
- нарушения когнитивной сферы. Являются очаговым симптомом для опухолей височной и лобной локализации. Память, способность к абстрактному мышлению, логике постепенно ухудшаются. Выраженность отдельных симптомов может быть различной: от небольшой рассеянности до отсутствия ориентации во времени, собственной личности и пространстве;
- галлюцинации. Они могут быть самыми разнообразными: вкусовыми, обонятельными, зрительными, звуковыми. Как правило, галлюцинации кратковременны и стереотипны, поскольку отражают конкретную область поражения мозга;
- нарушения со стороны черепно-мозговых нервов. Эти симптомы возникают из-за сдавления корешков нервов растущей опухолью. К таким нарушениям относят нарушения зрения (снижение остроты, туман или пелену перед глазами, двоение, выпадение полей зрения), опущение верхнего века, парезы взора (когда становятся невозможными или резко ограниченными движения глазами в разные стороны), боли по типу невралгии тройничного нерва, слабость жевательных мышц, асимметрию лица (перекашивание), нарушение вкуса на языке, снижение или утрату слуха, нарушение глотания, изменение тембра голоса, неповоротливость и непослушность языка;
- вегетативные расстройства. Они возникают при сдавлении (раздражении) вегетативных центров в головном мозге. Чаще это приступообразные изменения пульса, артериального давления, ритма дыхания, эпизоды повышения температуры тела. Если опухоль растет в области дна IV желудочка, то подобные изменения в сочетании с выраженной головной болью, головокружением, рвотой, вынужденным положением головы, кратковременным помрачением сознания называют синдромом Брунса;
- гормональные нарушения. Могут развиваться при сдавлении гипофиза и гипоталамуса, нарушении их кровоснабжения, а могут быть результатом гормонально активных опухолей, то есть тех опухолей, клетки которых сами продуцируют гормоны. Симптомами могут быть развитие ожирения при обычном режиме питания (или наоборот резкое похудение), несахарный диабет, нарушения менструального цикла, импотенция и нарушения сперматогенеза, тиреотоксикоз и другие гормональные расстройства.
Конечно, у человека, у которого начинает расти опухоль, появляются не все эти симптомы. Поражению различных отделов головного мозга свойственны определенные симптомы. Ниже будут рассмотрены признаки опухолей головного мозга в зависимости от их расположения.
Признаки опухолей различных отделов головного мозга
Опухоли лобной доли
Если опухоль возникает в передних отделах лобной доли, то она долгое время остается клинической «невидимкой», то есть никак себя не проявляет. В этом случае первыми признаками становятся общемозговые симптомы. Особенно характерны изменения в поведении и характере человека, однако они обычно связываются со стрессом, какими-то переменами в жизни (переездом, ремонтом и так далее). Поэтому им не придают должного значения. И только с появлением резких изменений психики или присоединении других симптомов (нарушение зрения, эпилептические припадки) больной обращается за медицинской помощью.
Если опухоль растет в задненижних отделах левой лобной доли (у правшей), то первым симптомом становятся нарушения воспроизведения речи: появляются словесные ошибки, неправильные звуки, речь становится безграмотной. Причем сам человек замечает за собой такие погрешности. Позже к этим нарушениям присоединяются слабость в языке, правой половине лица и руке. У левшей подобные симптомы возникают при развитии опухоли в аналогичном месте, но справа.
Опухоли верхних отделов лобной доли проявляют себя слабостью в одной или (при двустороннем процессе) обеих ногах. Рост опухоли влево и вправо в таком случае вызывает нарушения функции тазовых органов.
Опухоли теменной доли

Такое расположение опухоли проявляет себя, в первую очередь, нарушением чувствительности в одной из конечностей (поверхностной и глубокой). По мере роста опухоли, аналогичные изменения захватывают и вторую конечность на той же стороне тела (например, левая рука — левая нога). Причем если опухоль растет слева, то нарушения возникнут в правых конечностях и наоборот. Пораженные конечности вторично могут стать неловкими из-за потери чувствительности.
При росте опухоли в нижних отделах теменной доли слева (у правшей) и справа (у левшей) могут изолированно нарушаться умения читать, писать и считать. Позже возникнет нарушение речи.
Опухоли височной доли
Локализация опухоли в области этой доли вызывает появление галлюцинаций. Если опухоль возникает глубоко внутри доли, то появляется нарушение зрения в виде выпадения одноименных половин зрительных полей (не видны обе левые или правые половины изображения).
Также при опухолях такой локализации может нарушаться понимание обращенной речи (при левосторонней опухоли у правшей и правосторонней у левшей). Почти всегда страдает память.
Довольно часто опухоли такой локализации дебютируют эпилептическими припадками или приступообразными состояниями «уже виденного» или «уже слышанного».
Если опухоль возникает на стыке височной и теменной доли, то первыми одновременно нарушаются речь, способность читать, писать и считать.
Опухоли затылочной доли
Характеризуются зрительными галлюцинациями, нарушением полей зрения (выпадать могут половины, четверти изображения или только центральные участки). Еще одним симптомом становится неузнавание предметов, то есть человек их видит, но не может объяснить их предназначение. Так, например, если поставить впереди человека стул, то он его обойдет, поскольку он мешает на пути (то есть человек видит стул), но зачем он нужен, для чего используется, сказать не сможет. Если при этом произнести вслух слово «стул» и спросить, зачем он нужен, человек ответит правильно. Вот такой вот казус. Это может показаться довольно глупым, но опухоли головного мозга часто проявляют себя вот такими и аналогичными «странностями».
Опухоли затылочной доли довольно рано приводят к повышению внутричерепного давления и возникновению общемозговых симптомов.
Опухоли желудочков мозга
При таком расположении опухолей первым симптомом становится внутричерепная гипертензия, то есть общемозговые симптомы. Причем может наблюдаться вынужденное положение головы (интуитивно человек держит голову так, чтобы опухоль не перекрывала собой отверстия для циркуляции ликвора).
Опухоли III желудочка могут заявлять о себе гормональными нарушениями, а IV- синдромом Брунса.
Опухоли задней черепной ямки
Такие опухоли поражают в первую очередь мозжечок, поэтому начальными проявлениями становятся нарушения координации и равновесия, головокружения. Возникает нистагм: непроизвольные дрожательные движения глазных яблок. В мышцах снижается тонус, они становятся вялыми и дряблыми.
При такой локализации довольно быстро повышается внутричерепное давление, поэтому общемозговые симптомы не заставляют себя долго ждать.
Опухоли ствола мозга
Эти опухоли проявляют себя возникновением так называемых альтернирующих синдромов. Суть синдромов заключается в следующем: с одной стороны тела возникает «дефект» одного или нескольких черепно-мозговых нервов, а с другой – нарушения чувствительности, силы в конечностях, координации. Например, справа у человека перекашивается лицо, а в левых конечностях теряется сила. Таких комбинаций существует приличное количество.
Опухоли области «турецкого седла»
Они проявляют себя нарушением зрения и гормональными проблемами одновременно. Так, например, при развитии нарушений менструального цикла и одновременном выпадении полей зрения у больной следует заподозрить опухолевый процесс в области турецкого седла.
Таким образом, опухоль головного мозга – это актриса с большим амплуа среди неврологических и онкологических болезней, настолько разнообразны ее клинические проявления. К сожалению, довольно долго она может находиться за кулисами, ее выход на сцену может оказаться весьма трагическим для больного. Чтобы не пропустить такое грозное заболевание, как опухоль головного мозга, не пренебрегайте посещением врача при появлении даже самых незначительных и безобидных, на первый взгляд, симптомов.
Нейрохирург Андрей Зуев рассказывает про опухоли головного мозга:
Телеканал «Москва-24», передача «Стиль жизни» на тему «Каковы симптомы опухоли головного мозга»:


Так много всего расписано и наверное если бы не болезнь близкого человека, никогда бы не вчитывалась в подобные статьи. У моего племянника глиобластома и он прошел курс химии и лучей и сейчас операция нужна. В нашей больнице гарантий не дают. Семья у нас большая и мы постараемся помочь, и рассматриваем вариант операции и лечения за границей. Но вот куда обращаться и с чего начинать пока не знаем…
спасибо за статью
спасибо