Ангиография сосудов головного мозга – это инструментальный метод исследования, позволяющий в буквальном смысле слова «увидеть» сосуды головного мозга. Для проведения исследования необходимо введение в соответствующий сосуд головного мозга контрастного вещества и наличие рентгеновского аппарата, с помощью которого будет зафиксировано изображение сосудов, заполненных этим контрастом. Ангиография сосудов головного мозга – это не рутинный метод диагностики, у него имеются свои показания и противопоказания, а также, к сожалению, и осложнения. Что это за метод диагностики, в каких случаях его применяют, как именно проводят и о других нюансах ангиографии сосудов головного мозга вы сможете узнать из этой статьи.
Ангиография в широком смысле – это получение изображения любых сосудов организма с помощью рентгеновских лучей. Ангиография сосудов головного мозга – это лишь одна из разновидностей этого обширного метода исследования.
Ангиография известна медицине уже на протяжении почти 100 лет. Впервые ее предложил португальский невролог Е. Мониц еще в 1927 году. В 1936 году ангиография была применена в клинической практике, а в России метод стал использоваться с 1954 года благодаря ростовским нейрохирургам В.А.Никольскому и Э.С.Темирову. Несмотря на столь длительный период использования, ангиография сосудов головного мозга продолжает совершенствоваться и по настоящее время.
В чем заключается ангиография сосудов головного мозга?
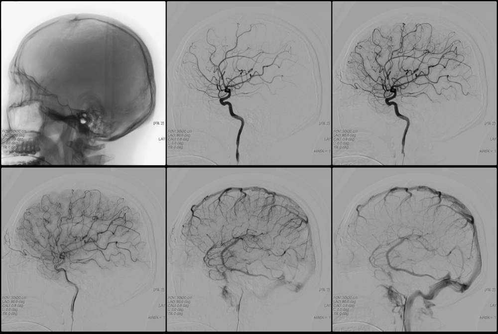
Суть этого метода исследования заключается в следующем. Больному в определенную артерию головного мозга (или всю сеть артерий мозга) вводится рентгенконтрастное вещество, обычно на основе йода (Урографин, Трийодтраст, Омнипак, Ультравист и другие). Это делается для того, чтобы можно было на рентгеновской пленке зафиксировать изображение сосуда, поскольку при обычном снимке сосуды плохо визуализируются. Введение рентгенконтрастного вещества возможно путем пункции соответствующего сосуда (если это технически выполнимо) либо через катетер, подведенный к необходимому сосуду с периферии (обычно из бедренной артерии). Когда контрастное вещество оказывается в сосудистом русле, производится серия рентгеновских снимков в двух проекциях (прямой и боковой). Полученные снимки оцениваются врачом-рентгенологом, им делаются выводы о наличии либо отсутствии определенной патологии сосудов головного мозга.
Разновидности
В зависимости от способа введения препарата этот метод исследования может быть:
- пункционным (когда контраст вводится путем прокола соответствующего сосуда);
- катетеризационным (когда контраст доставляется через катетер, введенный через бедренную артерию и продвинутый по сосудистому руслу до необходимого места).
По обширности площади исследования ангиография сосудов головного мозга бывает:
- общей (визуализируются все сосуды головного мозга);
- селективной (рассматривается один бассейн, каротидный или вертебробазилярный);
- суперселективной (исследуется сосуд меньшего калибра в одном из кровеносных бассейнов).
Суперселективная ангиография используется не только как метод исследования, но и как способ эндоваскулярного лечения, когда после определения «проблемы» в конкретном сосуде производится «устранение» этой проблемы с помощью микрохирургической техники (например, эмболизация или тромбирование артериовенозной мальформации).
В связи с широким внедрением современных диагностических методов, таких как компьютерная томография (КТ) и магнитно-резонансная томография (МРТ), в последнее время все чаще и чаще проводят КТ-ангиографию и МР-ангиографию. Эти исследования проводят при наличии соответствующих томографов, они менее травматичны и более безопасны, чем просто ангиография. Но об этом чуть позже.
Показания к проведению
Ангиография сосудов головного мозга – это специализированный метод диагностики, назначать который должен только врач. Его не выполняют по желанию пациента. Основными показаниями являются:
- подозрение на артериальную или артериовенозную аневризму сосудов головного мозга;
- подозрение на артериовенозную мальформацию;
- определение степени стеноза (сужения) или окклюзии (закупорки) сосудов головного мозга, то есть установление просвета соответствующих сосудов. В этом случае устанавливается выраженность атеросклеротических изменений в сосудах и необходимость последующего оперативного вмешательства;
- установление взаимоотношений сосудов головного мозга с расположенной рядом опухолью для планирования операционного доступа;
- контроль расположения клипс, наложенных на сосуды головного мозга.
Хотелось бы отметить, что просто жалобы на головокружение, головную боль, шум в ушах и тому подобное сами по себе не являются показанием к проведению ангиографии. Пациенты с такой симптоматикой должны быть осмотрены неврологом, и по результатам осмотра, а также других методов исследования, определяется необходимость проведения ангиографии. Эту необходимость устанавливает врач!
Противопоказания
Основными противопоказаниями являются:
- аллергическая реакция (непереносимость) на препараты йода и другие рентгенконтрастные вещества;
- беременность (в связи с ионизирующим излучением во время процедуры). В таком случае возможно проведение МР-ангиографии;
- психические заболевания, которые не позволяют соблюсти все условия проведения процедуры (например, человек не сможет не шевелиться во время снимка);
- острые инфекционные и воспалительные заболевания (так как повышается риск осложнений);
- нарушение показателей свертывающей системы крови (как в сторону снижения, так и в сторону повышения);
- общее состояние больного, расцениваемое как тяжелое (это может быть сердечная недостаточность III степени, терминальные стадии почечной и печеночной недостаточности, кома и так далее). По существу, эта подгруппа противопоказаний является относительной.
Подготовка к ангиографии
Для получения точных результатов и снижения риска осложнений от процедуры рекомендуется:
- сдать общий и биохимический анализы крови, в том числе – определить показатели свертывающей системы (срок давности анализов не должен превышать 5 дней). Также определяются группа крови и резус-фактор на случай возможных осложнений;
- сделать ЭКГ и ФГ (ФГ, если таковая не проводилась в течение последнего года);
- в течение 14 дней не употреблять алкогольные напитки;
- в течение последней недели не принимать препараты, влияющие на свертываемость крови;
- выполнить аллергическую пробу с контрастным веществом. Для этого за 1-2 дня внутривенно пациенту вводят 0,1 мл соответствующего препарата и оценивают реакцию (появление зуда, сыпи, затруднений дыхания и тому подобное). В случае возникновения реакции процедура противопоказана!
- накануне принять антигистаминные (противоаллергические) препараты и транквилизаторы (при необходимости и только по назначению врача!);
- не есть в течение 8 часов и не пить воду за 4 часа до исследования;
- искупаться и побрить (при необходимости) место пункции или катетеризации сосуда;
- перед самим исследованием снять все металлические предметы (заколки, украшения).
Техника проведения исследования
В самом начале пациент подписывает согласие на проведение данного вида исследования. Пациенту ставят внутривенный периферический катетер, чтобы иметь мгновенный доступ к кровеносной системе. Затем проводят премедикацию (приблизительно за 20-30 минут до процедуры): вводятся антигистаминные препараты, транквилизаторы, обезболивающие, чтобы свести к минимуму неприятные ощущения во время процедуры и риск осложнений.
Пациент укладывается на стол и подключается к приборам (кардиомонитор, пульсоксиметр). После обработки кожи местным анестетиком и обезболивания производится прокол соответствующего сосуда (сонной или позвоночной артерии). Поскольку точно попасть в эти артерии не всегда возможно, то чаще всего осуществляется небольшой разрез кожи и прокол бедренной артерии с последующим погружением катетера и проведением его по сосудам к месту исследования. Продвижение катетера по артериальному руслу не сопровождается болью, поскольку внутренняя стенка сосудов лишена болевых рецепторов. Контроль продвижения катетера производят с помощью рентгена. Когда катетер будет подведен к устью необходимого сосуда, через него вводится предварительно подогретый до температуры тела контрастный препарат в объеме 8-10 мл. Введение контраста может сопровождаться появлением металлического привкуса во рту, чувством жара, прилива крови к лицу. Эти ощущения самостоятельно проходят в течение нескольких минут. После введения контраста производятся рентгеновские снимки в прямой и боковой проекциях почти каждую секунду несколько раз (что позволяет увидеть и артерии, и капиллярную фазу, и вены). Снимки проявляют и сразу оценивают. Если что-то осталось непонятным для врача, вводится дополнительная порция контрастного вещества, и снимки повторяют. Затем катетер удаляют, на место пункции сосуда накладывают давящую стерильную повязку. За пациентом должен наблюдать медицинский персонал как минимум в течение 6-10 часов.
Осложнения
Согласно статистическим данным, осложнения в ходе проведения этого метода диагностики возникают в 0,4-3% случаев, то есть не так уж и часто. Их возникновение может быть связано как с самой процедурой проведения (например, истечение крови из места прокола сосуда), так и с использованием контрастного вещества. Следует иметь в виду, что соблюдение всех условий при подготовке и проведении ангиографии является профилактикой возможных осложнений. Использование йодсодержащих препаратов последнего поколения (Омнипак и Ультравист) характеризуется меньшей статистикой осложнений.
Итак, возможными осложнениями ангиографии сосудов головного мозга являются:
- рвота;
- аллергическая реакция на йодсодержащий препарат: зуд, отек и покраснение в месте введения препарата, а затем появление одышки (рефлекторное расстройство дыхания), падение АД, нарушение сердечного ритма. В тяжелых случаях возможно развитие анафилактического шока, что является угрожающим жизни состоянием;
- спазм сосудов головного мозга и, как следствие, острое нарушение мозгового кровообращения (вплоть до инсульта);
- судорожные припадки;
- попадание контрастного вещества в мягкие ткани в зоне прокола сосуда (вне сосудистого русла). Если объем вылившегося в ткани препарата составляет до 10 мл, то последствия минимальны, если же больше – то развивается воспаление кожи и подкожно-жировой клетчатки;
- истечение крови из места прокола сосуда.
КТ и МР-ангиография: какие особенности?
КТ и МР-ангиография сосудов головного мозга по своей сути представляют аналогичное исследование, что и ангиография. Но есть ряд некоторых особенностей данных процедур, отличающих их от ангиографии сосудов головного мозга. Вот об этом и поговорим.
КТ-ангиография
- она проводится с помощью томографа, а не обычного рентгеновского аппарата. В основе исследования также лежит рентгеновское излучение. Однако его доза значительно меньше, чем при обычной ангиографии сосудов головного мозга, что безопаснее для больного;
- компьютерная обработка информации позволяет получить трехмерное изображение сосудов абсолютно в любой точке исследования (это касается так называемой спиральной КТ-ангиографии, проводимой на специальном спиральном томографе);
- контрастный препарат вводится в вену локтевого изгиба, а не в артериальную сеть (что существенно снижает риск осложнений, поскольку введение препарата становится обычной внутривенной инъекцией через периферический катетер).
- для проведения КТ-ангиографии существует ограничение по весу человека. Большинство томографов выдерживают массу тела до 200 кг;
- процедура проводится в амбулаторных условиях и не требует наблюдения за пациентом по ее окончанию.
МР-ангиография
МР-ангиография характеризуется такими особенностями:
- она проводится с помощью магнитно-резонансного томографа, то есть в основе метода лежит явление ядерно-магнитного резонанса. Это означает полное отсутствие рентгеновского излучения при процедуре (и поэтому МР-ангиография разрешена при беременности);
- может проводиться как с использованием контрастного вещества (для лучшей визуализации), так и без него (например, при непереносимости препаратов йода у больных). Этот нюанс является несомненным
преимуществом перед другими видами ангиографии. При необходимости использования контраста, вещество также вводится в вену локтевого изгиба через периферический катетер; - изображение сосудов получается трехмерным благодаря компьютерной обработке;
- серия снимков занимает несколько больший промежуток времени по сравнению с другими видами ангиографии, при этом человеку необходимо все время лежать в трубе томографа. Для лиц, страдающих клаустрофобией (боязнь закрытого пространства) это невыполнимо;
- процедура противопоказана при наличии искусственного водителя ритма, металлических клипс на сосудах, искусственных суставов, электронных имплантатов внутреннего уха);
- проводится в амбулаторных условиях, и пациент сразу же отпускается домой.
В целом, можно сказать, что КТ и МР-ангиография являются современными, менее опасными и более информативными методами исследования, нежели обычная ангиография сосудов головного мозга. Однако они не всегда выполнимы, поэтому обычная ангиография сосудов головного мозга по-прежнему является актуальным методом исследования сосудистой патологии головного мозга.
Таким образом, ангиография сосудов головного мозга – весьма информативный метод диагностики, в основном, сосудистых заболеваний головного мозга, в том числе стенозов и окклюзий, являющихся причиной инсультов. Сам по себе метод довольно доступный, требует лишь наличия рентгеновского аппарата и контрастного вещества. При соблюдении всех условий подготовки и проведения исследования ангиография сосудов головного мозга дает точный ответ на поставленный перед нею вопрос с минимальным количеством осложнений. К тому же современная медицина располагает такими инновационными методами, как КТ и МР-ангиография, более шадящими, менее вредными и травматичными для больного. КТ и МР-ангиография позволяют получить трехмерное изображение сосудов, а значит, с большей долей вероятности, не пропустить имеющуюся патологию.
Медицинская анимация на тему «Церебральная ангиография»:
https://www.youtube.com/watch?v=bzvAtE4wNSU


