Миелография – это метод диагностики, осуществляемый путем введения в подпаутинное пространство спинного мозга контрастного вещества с последующим проведением рентгеноскопии. Эта методика позволяет диагностировать ряд заболеваний нервной системы, невидимых при проведении простого рентгенологического исследования. Обычная рентгенография позвоночника показывает лишь костные его структуры, а оценить состояние спинного мозга, его оболочек и корешков на рентгенограмме не представляется возможным. Именно эти структуры и покажет миелография.
Конечно, более современным методом визуализации, позволяющим увидеть не только спинной мозг, но и все структуры вокруг него, является компьютерная или магнитно-резонансная томография, однако к этому исследованию существует ряд противопоказаний, да и не каждому пациенту оно доступно. Вот в этих случаях и приходит на помощь врачу и пациенту миелография. О том, что это за исследование, какие показания к его проведению, нужна ли особая подготовка к нему, возможны ли после него осложнения, и пойдет речь в данной статье.
Когда показана миелография
Данное исследование назначают в следующих случаях:
- с целью обнаружения причин боли, слабости, онемения конечностей;
- при подозрении на наличие новообразований в области канала спинного мозга или задней черепной ямки;
- для диагностики межпозвонковых грыж;
- с целью обнаружения патологических изменений сосудов позвоночного канала;
- для диагностики повреждений корешков спинного мозга;
- для выявления признаков воспаления в области спинного мозга и его оболочек;
- при подозрении на сужение (стеноз) канала спинного мозга.
При помощи миелографии могут быть подтверждены следующие заболевания:
- сирингомиелия (в спинном мозге обнаруживаются полости);
- менингоцеле (выпячивание твердой мозговой оболочки);
- травматические повреждения спинного мозга;
- воспаление паутинной оболочки спинного мозга, или спинальный арахноидит;
- инфекции спинного мозга и окружающих его тканей;
- опухоли органов центральной нервной системы.
Кроме того, миелография может быть назначена больному до и после операции на позвоночнике и спинном мозге с целью определения эффективности лечения.
Противопоказания к исследованию
Существует ряд состояний, когда проведение миелографии необходимо временно отсрочить или вовсе отменить. Таковыми являются:
- заболевания сердца, почек, печени в стадии декомпенсации;
- беременность (если врач и будущая мама принимают решение все-таки провести исследование, необходимо предпринять меры по защите плода от рентгеновского излучения);
- острые инфекционные заболевания с выраженной лихорадкой;
- анатомические или посттравматические дефекты позвоночника, замедляющие введение контрастного вещества;
- неспособность находиться в неподвижном положении;
- гнойничковые высыпания на коже в области пункции;
- внутричерепная гипертензия;
- аллергические реакции на компоненты рентгеноконтрастного вещества.
Как подготовиться к миелографии
Перед исследованием врач подробно расспросит пациента о принимаемых им лекарственных препаратах. Опасность для обследуемого во время миелографии представляют такие группы препаратов, как сахароснижающие (в частности, метформин), разжижающие кровь (например, варфарин), противосудорожные и антидепрессанты. За несколько дней до диагностики прием этих лекарственных средств следует прекратить и заменить их другими препаратами подобного действия, рекомендованными врачом.
Пациенту стоит подробно проинформировать врача обо всех случавшихся у него эпизодах аллергии. Особое значение имеет аллергия на йод и барий, поскольку многие контрастные вещества в своей основе имеют именно эти микроэлементы.
Врач также должен знать обо всех имеющихся у пациента хронических заболеваниях. Во-первых, при некоторых их них миелография вовсе противопоказана, а во-вторых, зная об этих заболеваниях, специалисты, проводящие исследование, могут предвидеть развитие тех или иных осложнений и своевременно, а главное – адекватно отреагировать на них.
Женщинам крайне важно уведомить врача о возможной или уже существующей беременности, поскольку рентгеновское излучение может оказать негативное воздействие на здоровье и развитие плода.
За 2-3 дня до исследования пациенту следует исключить из своего рациона продукты, вызывающие брожение и повышенное газообразование в кишечнике (капусту, сдобу и прочее) – наличие в нем большого количества газа может «смазать» картинку при проведении исследования. Количество потребляемой жидкости, напротив, следует увеличить. За 8 часов до миелографии не рекомендуется употреблять никакую пищу, но пить при возникновении чувства жажды все же следует.
Перед проведением пункции впечатлительным пациентам могут быть назначены седативные препараты, кроме того, всем обследуемым проводят очистительную клизму.
Во время исследования пациент снимает свою одежду частично или полностью, и надевает специальную больничную рубашку. Также он снимает очки, украшения, зубные протезы, часы и прочие предметы, которые могут исказить изображение.
Диагностическое оборудование
Для проведения миелографии необходим специальный стол, способный менять угол наклона, рентгеновскую трубку, монитор, на который будет поступать изображение при рентгеноскопии. Преобразует рентгеновское излучение в видеоизображение специальный прибор – флюороскоп. Чтобы улучшить качество картинки монитора, используют усилитель.
Также понадобится пункционная игла с мандреном (съемным стержнем, закупоривающим просвет иглы, для предотвращения преждевременного истечения спинномозговой жидкости), раствор антисептика (йода, спирта или другого), растворы обезболивающих препаратов (1% раствор лидокаина), контрастное вещество. В качестве последнего, как правило, используют газ (закись азота или кислород) или специальные рентгеноконтрастные препараты.
Для выявления гиперчувствительности к контрастному веществу обследуемому проводят аллергическую пробу: вводят внутривенно 2 мл этого препарата. При возникновении симптомов, свидетельствующих о непереносимости, миелографию не проводят или проводят, используя тот контраст, который пациент переносит хорошо.
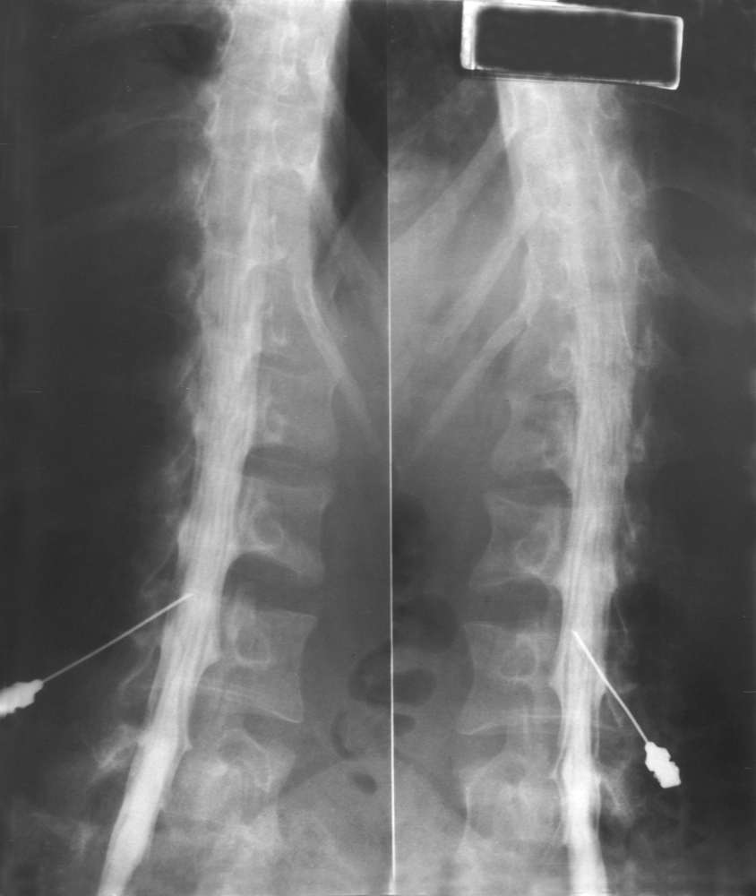
Техника проведения исследования
В большинстве случаев миелография проводится амбулаторно. При наличии у пациента серьезной соматической патологии ее проводят в условиях стационара с обязательным наблюдением неврологом в течение суток после исследования.
Контраст вводится в субарахноидальное пространство при помощи шприца, подсоединенного к пункционной игле.
В зависимости от направления распространения контраста различают 2 вида миелографии: восходящую и нисходящую. В первом случае спинномозговую пункцию проводят в поясничном отделе позвоночника, во втором – в шейном его отделе.
Во время проведения пункции обследуемый находится в положении лежа на боку с наклоненным к груди подбородком и ногами, согнутыми в коленных и тазобедренных суставах и прижатыми к животу. Реже пункцию проводят в положении больного сидя, облокотившись локтями на впереди стоящий стол.
Кожу в области предполагаемого прокола троекратно обрабатывают растворами антисептиков, после чего послойно обкалывают этот участок раствором анестетика. Пункционную иглу под контролем флюороскопа вводят взрослому на уровне между остистыми отростками 3 и 4 поясничных позвонков по срединной линии спины под небольшим углом кверху (параллельно остистым отросткам). Когда игла пройдет все структуры, проколет паутинную оболочку и окажется в субарахноидальном пространстве, врач, осуществляющий пункцию, ощутит как бы провал. После этого из иглы достают мандрен и наблюдают выделение по каплям спинномозговой жидкости. Несколько мл этой жидкости сразу же направляют в лабораторию на анализ, после чего подсоединяют к игле шприц и вводят контрастное вещество. Затем иглу вынимают, кожу повторно дезинфицируют, и пациент меняет положение на столе – ложится на живот лицом вниз.
И снова под контролем флюороскопа рентгенолог медленно наклоняет стол – при осуществлении поясничного прокола он наклоняет головной конец, а при пункции шейного отдела позвоночника – опускает ноги. Угол наклона небольшой – он составляет не более 10°С.
В процессе выполнения наклона на мониторе рентгенолог наблюдает распространение контрастного вещества по спинномозговому каналу – обтекание им спинного мозга и других структур. Врач обращает внимание на малейшие отклонения от нормы и при необходимости делает снимки того или иного участка. Для получения качественных снимков пациент должен лежать на боку и не двигаться в момент снимка. Даже небольшое вздрагивание повысит вероятность размытия изображения.
При высоком риске развития нежелательных реакций на введение контраста после выполнения снимков больному может быть введен раствор тиосульфата натрия.
Когда обследование завершено, врач возвращает стол в исходное (горизонтальное) положение и позволяет обследуемому перевернуться на спину.
В ряде случаев, пока контрастное вещество находится в канале спинного мозга, пациенту проводят компьютерную томографию (в этом варианте она носит название «КТ-миелография»).
Если при проведении миелографии использовалось контрастное вещество, растворимое в жирах, по окончании исследования врач эвакуирует его из спинномозгового канала. В течение суток после этого больной должен соблюдать постельный режим, находясь на твердой ровной поверхности (это важно!).
Время проведения исследования колеблется в пределах получаса-часа. КТ-миелография занимает еще 20-30 минут.
Некоторое время рентгенолог описывает и анализирует полученные рентгенограммы. После этого он отдает описание, а иногда и сами снимки пациенту. Результаты исследования обычно обсуждает с больным не рентгенолог, а лечащий врач.
По окончании исследования пациент в течение от 12 часов до суток должен находиться в положении лежа с немного приподнятым головным концом. Для ускорения процессов выведения контраста из организма пациенту рекомендуют употреблять большое количество воды. Если после отдыха он не остается в отделении, а отправляется домой, необходимо, чтобы его кто-то сопровождал.
Ощущения пациента
Наверняка читателя волнует вопрос «а что же ощущает обследуемый во время проведения миелографии?» При выполнении пункции человек чувствует легкое давление в области поясницы. В момент введения контраста – кратковременное чувство жжения, тепло, головную боль и головокружение. Некоторые пациенты отмечают появление соленого привкуса во рту. В момент прекращения введения препарата у обследуемого может возникнуть тошнота и/или рвота. В отдельных случаях во время проведения исследования больные предъявляют жалобы на неинтенсивную боль.
Осложнения миелографии
В подавляющем большинстве случаев миелография переносится пациентами хорошо, без каких-либо нежелательных эффектов. Однако изредка все же возникают те или иные осложнения.
- Каждый пятый пациент после миелографии сталкивается с такими побочными явлениями, как тошнота, рвота и головная боль. Эти симптомы усиливаются в вертикальном положении человека, поэтому с целью снижения риска их развития, следует после исследования соблюдать постельный режим в течение суток и располагаться со слегка приподнятым головным концом.
- В случае приема пациентом до исследования метформина, после исследования возможно нарушение работы почек. Необходимо следить за мочеиспусканиями: в течение 8 часов обязательно помочиться. Если этого не произошло, сообщить лечащему врачу.
- В отдельных случаях развиваются энцефалопатии или серозный менингит, могут возникнуть судороги: так проявляются нейротоксические эффекты контраста, попавшего в субарахноидальное пространство головного мозга.
- В единичных случаях возможно повреждение структур спинномозгового канала в момент осуществления поясничного прокола или введения контраста.
В заключение стоит отметить, что миелография – это высокоинформативный и достаточно безопасный метод диагностики, целесообразность проведения которого определяет лечащий врач в каждом конкретном случае. Тем не менее, исследование предполагает непосредственное вмешательство в центральную нервную систему, поэтому проводится исключительно после письменного согласия пациента на него.
Медицинская анимация на тему «Миелография»:
https://www.youtube.com/watch?v=UkWYzwOmR4A


